郑州恒锦莱科技有限公司提供便携式兽用B超机和兽用OPU耗材(牛用负压泵、采卵线、采卵针、卵母细胞过滤器等),欢迎前来咨询
郑州恒锦莱科技有限公司
联系方式:
15937117016
在母猪繁殖管理中,很多问题并不是出现在配种当天,而是出现在配种之前。卵泡是否发育充分、是否同步、是否存在发育停滞,往往决定了后续配种能否成功。这也是近年来猪卵泡B超机和母猪卵泡检测仪逐渐被规模化猪场重视的原因。

在传统管理中,母猪是否发情,更多依赖外在表现:
这些方法在经验丰富的饲养员手中确实有效,但在以下情况中误差明显:
母猪卵泡检测仪的意义,在于把“看不见的卵巢状态”变成可视化信息。
猪卵泡B超机本质上是一种针对母猪生殖结构优化的超声成像设备。
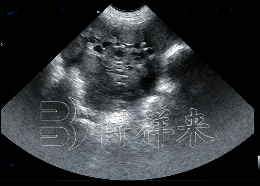
通过直肠探头靠近卵巢区域,对卵泡进行实时成像。
在B超图像中:
相比仅凭外观判断,母猪卵泡检测仪能够直接反映卵泡的真实发育状态。
在使用猪卵泡B超机进行检测时,技术人员通常重点关注三个方面:

单次检测只能看到“当前状态”,而连续检测才能判断发育速度。
如果卵泡直径增长缓慢或长期停留在同一水平,往往提示发育异常。
健康发情母猪通常呈现多个大小接近的卵泡。
如果卵泡大小差异明显,可能影响排卵同步性,增加配种失败风险。
成熟卵泡边界清晰,周围组织结构相对稳定。
在母猪卵泡检测仪成像中,这些细节对判断卵泡质量非常关键。
在规模化猪场中,猪卵泡B超机并不仅仅用于“看卵泡”,而是服务于整个繁殖流程:
在这些场景中,母猪卵泡检测仪提供的是“决策依据”,而不是单一结果。
并不是所有B超设备都适合做卵泡检测。
真正适用于母猪卵泡检测的B超机,通常具备以下特征:
博祥来在猪卵泡B超机设计中,针对母猪卵巢位置深、脂肪层变化大、个体差异明显等特点,对成像参数进行了针对性优化,使卵泡结构更容易识别。猪卵泡B超机和母猪卵泡检测仪,并不是取代经验,而是让经验更有依据。当卵巢状态可视化,配种时机就不再是“猜”。对于希望提升繁殖效率、降低返情率的猪场来说,母猪卵泡检测,已经成为越来越重要的一环。
下一篇:没有了