郑州恒锦莱科技有限公司主要生产销售兽用B超机,羊用B超仪,便携式牛用B超,彩色猪用B超等兽用超声仪器,欢迎前来咨询

联系方式:

15937117016

新闻资讯

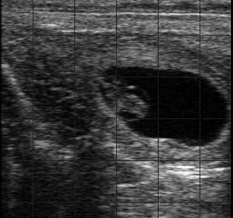
兽用B超图像的形成与波束的关系

兽用B超图像的形成是靠波束传输形成的。兽用B超图像采取多段聚焦的时候,为获得一条扫描线的兽用B超图像,超声在动物体需要来回传播几次。不难计算,当采用4端聚焦,采样深度为20cm,设声速为1540 m/s时,以256条线为一帧图像,系统的帧频会不足6帧。兽用B超图像增大发射焦距或减小发射孔径可以实现发射波束的弱聚焦。多波束合成可以提高兽用B超成像的帧频,兽用B超图像回波信号进过数字波束合成之后,就进入动态滤波这个环节,动态滤波是为了解决动物体组织对不同频率超声能量的衰减不同而提出的。动态滤波技术实现的好坏,直接关系到数字化兽用B超图像系统的成像分辨率,是成像系统的另一个关键组成部分。频率随深度衰减变化的归一化曲线示意图。 回波频率成分主要集中在高频,随着探测深度的增加,回波频率成分主要集中在低频。所以说波束的形成好坏直接影响到兽用B超图像的质量问题。
兽用B超
 

阅读了此文章的人还购买了:兽用B超 V30