郑州恒锦莱科技有限公司提供便携式兽用B超机和兽用OPU耗材(牛用负压泵、采卵线、采卵针、卵母细胞过滤器等),欢迎前来咨询

郑州恒锦莱科技有限公司

联系方式:

15937117016

新闻资讯

牛用B超机检测在母牛人工授精过程中的作用

牛用B超机在母牛繁殖中的实际应用包括作为诊断辅助手段的卵巢成像、卵巢囊肿的检查和确认、早孕检测、双胞胎鉴定和小牛公母鉴定。虽然直肠触诊是进行生殖检查的既定方法,但超声成像的信息收集能力远远超过直肠触诊。在配种后早期评估妊娠状态和胎儿存活率可以显着提高繁殖效率。此类方法可以在繁殖管理中发挥关键作用,使开放的动物迅速返回繁殖计划。仅当技术对怀孕和非怀孕动物的检测具有高准确度时,早孕检测才有用。

奶牛双胞胎或雄性犊牛的早期超声波识别允许实施差异化管理策略,例如终止意外怀孕或减轻双胞胎在围产期的负面影响。牛用B超机进行超声波检测最早可以在 AI 后 21 天准确地确定是否存在可存活的胚胎。检测胎儿活力的准确度可能接近 100%。拥有训练有素的眼睛的技术人员能够根据胎儿的大小准确评估胎儿的年龄。在怀孕 60 到 85 天时,受过训练的用户甚至可以通过胎儿生殖器的缺失和/或存在来确定胎儿性别,准确率超过 95%。仅这两个特征就为在生殖管理实践中使用超声波提供了许多选择。将超声与新的和现有的生殖技术相结合的综合生殖管理系统的开发将进一步增强超声检查的实际应用。总之,超声检查当前和未来的应用在加强牛的繁殖管理和提高繁殖效率方面具有巨大的潜力。

高清牛用B超测孕仪

将超声纳入生殖研究也使人们对卵巢生理学有了更深入的了解。超声波已广泛用于开发涉及发情和排卵同步的受控育种程序,以实现有效的定时 AI。超声检查可以连续监测发情周期中卵泡群的动态变化 。这种能力有助于解开毛囊发生的一些奥秘。在无动情期间,不活动的卵巢很容易通过超声检查与功能性卵巢区分开来。

此外,在选择公牛时,许多生产者面临着关于母体和胴体特性贡献的艰难决定。不仅多个品种的属性各不相同,品种内的变异也很大。通过结合超声和人工智能,生产者可以开发优化母体和胴体特征的育种计划。使用超声波,生产者可以根据胎儿的年龄和性别确定怀有 AI 种系小母 牛犊的雌性。在典型的商业牛犊生产环境中,受控制的繁殖季节范围为 60 至 120 天。通过在季节性繁殖动物的繁殖季节结束后 30 天使用超声波,生产者可以将他们的牛群分成繁殖季节早期或晚期怀孕的奶牛,并打开奶牛,随后可以根据他们的生殖状态以合理的成本进行生产。

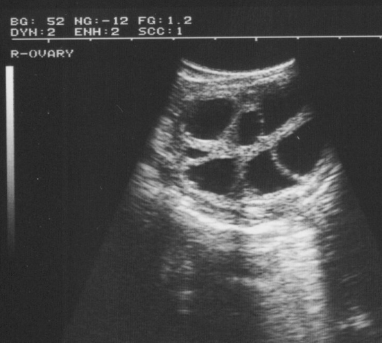
人工授精期间牛用B超机对母牛卵巢的评估

卵巢的超声评估应被视为生殖检查的常规部分,尤其是在牛身上。5MHz 换能器具有更高的分辨率,比 3 或 3.5MHz 换能器更适合评估卵巢。与其他流体结构一样,毛囊是无回声的,因此在超声图像上显示为黑色的外接结构,其形状为球形至不规则形状。不规则形状可归因于相邻卵泡和卵巢基质的黄体结构的压缩。

高清牛用B超机妊娠检测

由上图可以看到小至 2 - 3 毫米的卵泡,通常可以在其整个功能寿命期间识别黄体估计发情周期的阶段,评估排卵前卵泡的状态和数量,确定排卵,监测黄体的发育和形态是卵巢超声检查的潜在应用之一。给定卵巢上卵泡的数量和大小会有很大差异,取决于一年中的时间和不同动物的生殖阶段。在早间期观察到许多小卵泡,这些卵泡在周期中期会变大。牛的优势卵泡或排卵卵泡将以每天 1.5 至 2.5 毫米的速度发育排卵前几天,这些都可以通过超声波轻松监测以确定排卵日期,从而确定适当的授精时间。在牛的发情周期中,优势卵泡的最大直径约为 10-20 毫米,最大的从属卵泡的最大直径约为 8 毫米。母牛在发情期结束后约 12 小时排卵。因此,授精时间可能在排卵前 6 到 24 小时之间。

优势卵泡的出现通常伴随着行为发情的外在表现。然而,即将排卵的优势卵泡母牛并不总是表现出明显的发情,这正成为人工智能成功的最大障碍之一。虽然良好的发情检测并不一定能保证良好的繁殖性能,但糟糕的发情检测使得性能不佳难以避免。发情表现不佳和未能检测到发情进一步阻碍了正确时间的受精,这是受精失败的重要原因。在发情早期进行授精也会导致生育力下降。