郑州恒锦莱科技有限公司提供便携式兽用B超机和兽用OPU耗材(牛用负压泵、采卵线、采卵针、卵母细胞过滤器等),欢迎前来咨询
郑州恒锦莱科技有限公司
联系方式:
15937117016
随着生猪养殖逐步迈入智能化与规模化时代,养殖场对母猪繁殖管理的要求也不断提高。如何减少空怀天数、提升配种成功率、优化种猪利用率,成为现代养猪场关注的焦点。近年来,一种设备悄然走进养殖生产前线——猪用卵泡检测B超机。
它不仅能精确监测母猪卵泡发育状态、判断排卵时机,还能助力科学配种,打造更高效、更经济的繁殖管理体系。本文将围绕猪卵泡检测B超机的原理、作用、使用方法、设备价格等方面,全面解析为何“从卵泡抓起”,正是精准繁殖管理的***步。

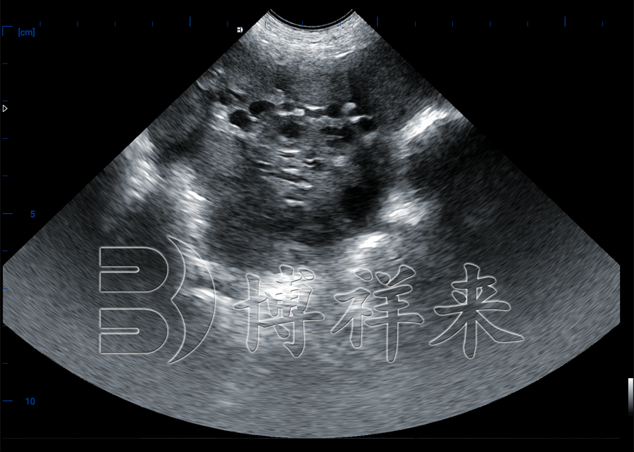
猪用卵泡检测B超机,是一种利用超声波技术检测母猪卵巢内卵泡发育情况的兽用设备。与传统的妊娠检测不同,它的重点在于检测卵泡的数量、大小、位置和是否成熟,为人工授精提供最精准的时间窗口。
该设备通常配备高频探头(如5.0–7.5MHz),具备图像放大、图像冻结、直径测量、数据存储等功能,是一线养殖人员实现配种精准化的重要工具。

在自然状态下,母猪的排卵时间具有一定的个体差异,即使发情行为明显,也不代表已经进入排卵期。过早或过晚配种,都会导致配种失败、空怀、返情等问题。通过使用猪卵泡检测B超机,养殖者可以:
该操作过程安全无创,整个检测流程仅需2–3分钟,适合日常管理使用。
在养猪成本逐年上升、环保压力加大的背景下,猪场的盈利点更多依赖于精细化管理。卵泡检测作为精准繁殖管理的关键环节,具有以下几点显著优势:
可以说,猪用卵泡检测B超机不仅是一台检测设备,更是现代养猪场向“数据驱动、高效繁殖”方向迈进的重要标配工具。
精准繁殖,不仅仅是一次成功的配种,更是系统化、可控化的繁殖管理体系。而猪卵泡检测B超机,正是打通这条高效管理路径的起点。它为养殖者带来的不仅是技术的便利,更是管理效率与经济效益的提升。
未来,随着设备智能化程度提高、图像识别技术升级,猪卵泡检测将更加便捷、精准,成为每一个现代猪场的“标配设备”。
上一篇:驴用B超机在繁殖管理中的应用