郑州恒锦莱科技有限公司提供便携式兽用B超机和兽用OPU耗材(牛用负压泵、采卵线、采卵针、卵母细胞过滤器等),欢迎前来咨询
郑州恒锦莱科技有限公司
联系方式:
15937117016
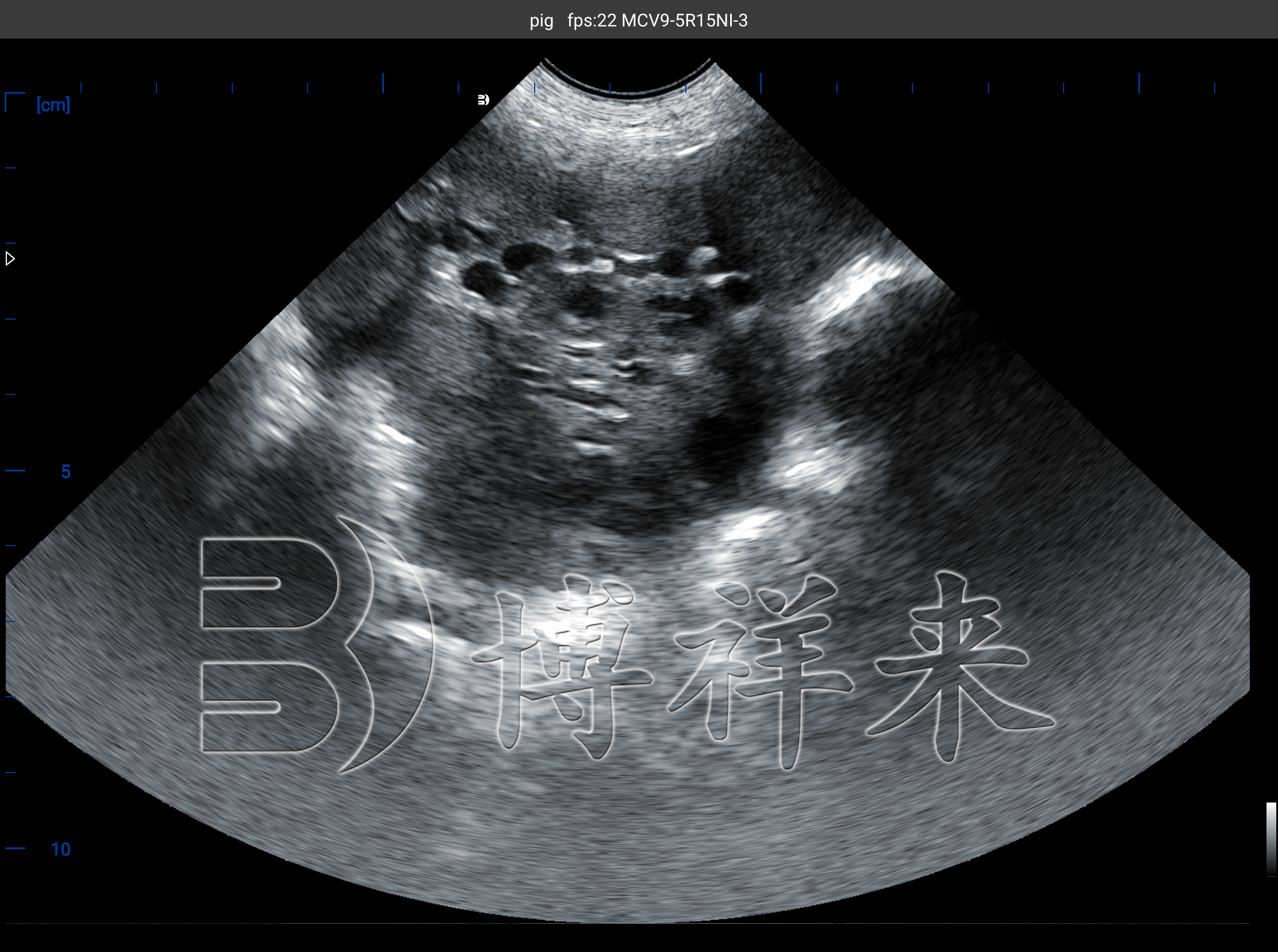
传统的发情鉴定依赖站立反射与外阴变化,但这一方法对管理与人员经验高度敏感。猪用B超机将卵巢与子宫的结构变化直接呈现出来:卵泡、黄体与囊性结构的大小、回声与边界都可被追踪,用于判断发情进程与排卵临近程度。系统性综述明确指出,RTU 已成为评估单头或群体母猪繁殖状态的核心工具之一,适合在商业化猪场的常规流程中应用。

B 超能连续追踪从发情到排卵的卵泡动态,研究在青年母猪与断奶后母猪中均证实可通过超声刻画卵泡生长轨迹与排卵时间窗,显著提升授精时机判断的精度。经典实验与后续研究显示,视觉发情起始后约 7–12 小时是高受胎率时段的重要参考,而超声对“即将排卵”的卵泡群(直径与数量、回声特征)提供了更直观的量化依据。
不仅如此,经直肠超声(TUS)还能通过计数排卵前卵泡与排卵后黄体数量来评估排卵率,为公猪精液用量、授精次数与定时输精(TAI/FTAI)策略提供定量支持,并在发情异常或排卵延迟时提示干预。

在配种后 17–24 天即可用猪用B超机检查到早期妊娠信号,随着孕龄推进,特异度与可视性进一步提高。行业资料还给出在 29 天后用多普勒或 B 模式进行妊娠诊断,准确率可超过 95% 的参考范围。对于批次化管理而言,提前确诊、快速分流空怀母猪,能把损失与空间占用降到***。
批次化管理的核心是把配种—妊娠—分娩—断奶等节点在周历上成批次同步,形成可预测的劳动力与产能节奏。将超声策略嵌入该体系,通常包含三类关键节点:断奶后卵巢复苏期的卵泡筛查与发情判定;配种前后的排卵确认与妊娠早检;妊娠中期的复检与空怀回流。结合定时输精或同步方案,可显著缩短同批次内的配种离散度,使分娩与保育周转更整齐,降低高峰期的人手与场地压力,并提升断奶仔猪整齐度。
对配种窗口的精准把握减少无效授精与精液浪费;对空怀的早筛与快速回流减少窝次空档;对排卵率与卵泡群的量化评估优化精液剂量与授精次数;对妊娠早中期的复检减少流产与假孕造成的饲养占位。以上因素叠加,使批次化生产的单位周产能更稳定、产房利用率更高,最终体现在窝产活仔数、断奶重与出栏整齐度等指标上。
需要强调的是,RTU 的收益依赖于“人—机—流程”的协同:操作者的超声判读训练、探头与机型分辨率、场内流程(采精、稀释、授精)与记录系统的闭环。早期研究也提示,在特定商业条件下,单纯以 RTU 替代 A 模式并不会必然改善远期受胎率与产仔率,说明超声更应作为“流程优化的传感器”,而不是孤立的“神器”。把它与批次化配种、定时输精、母猪体况(背膘)与健康监测打通,才是持续稳定的解法。
随着图像识别与机器学习的发展,面向母猪超声图像的 CADx(计算机辅助诊断)开始出现原型:在嘈杂环境下仍能保持较高判别准确率,为现场非专家提供“第二只眼”,这将进一步降低培训门槛并提升批次化管理中的一致性。
对母猪卵巢与卵泡的实时“可视化”,让配种时机的把握从“经验”走向“证据”。把 RTU 嵌入批次化管理流程,配合同步与定时输精策略,可使配种—分娩—断奶的节奏更加整齐,降低变异与成本、提升周产能与劳动效率。对于追求规模化、标准化与稳定供给的猪场而言,猪用B超机已从“辅助工具”升级为“繁殖数据中枢”。