郑州恒锦莱科技有限公司提供便携式兽用B超机和兽用OPU耗材(牛用负压泵、采卵线、采卵针、卵母细胞过滤器等),欢迎前来咨询

郑州恒锦莱科技有限公司

联系方式:

15937117016

新闻资讯

兽用B超机检测非怀孕母马超声

马用B超机测马是否怀孕

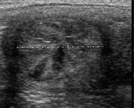
未怀孕的母马子宫角在横截面中被视为圆形至椭圆形结构。子宫的结构在动情期和发情间期是同质的。无法识别明显的分层。在发情期前后,可以通过兽用B超机观察到不同回声区域之间的明显区别。马子宫内膜和子宫肌层之间区域的环状结构与子宫的外腹膜同心,现在非常突出。从这个区域,低回声条带向管腔中心延伸,在那里它们相遇形成星形(辐条轮)图案。这种模式是由向子宫腔中心凸出的子宫内膜皱襞引起的。母马子宫的这种车轮图案是发情期的典型特征,在大约 50% 的发情母马中可以清楚地看到。它与发情期的雌激素化有关,在排卵前几天变得明显,然后逐渐减弱,直到排卵后2天消失。

马空怀子宫角

马的发情期子宫腔内可见少量游离液体。在未怀孕的子宫中不会发现较大的生理来源的积液。马子宫内膜积聚大量液体是子宫内膜炎的征兆。

非怀孕马子宫超声图像

【子宫角的横截面(发情期);没有液体滞留,也没有分界层】

马子宫角发情横截面

【子宫角(发情期)的横截面:液体潴留和子宫皱襞的轮状外观】