郑州恒锦莱科技有限公司提供便携式兽用B超机和兽用OPU耗材(牛用负压泵、采卵线、采卵针、卵母细胞过滤器等),欢迎前来咨询
郑州恒锦莱科技有限公司
联系方式:
15937117016
在规模化养猪场中,繁殖效率直接决定生产效益。母猪能否在***时机配种并成功受孕,关系到每一头仔猪的出生数量和养殖场的经济回报。过去,养殖户大多依赖观察母猪的外部发情表现来安排配种,但这种方法常常存在误差,导致受胎率低、返情率高。随着影像技术的发展,猪用B超机逐渐成为母猪卵泡检测和配种管理的重要工具。

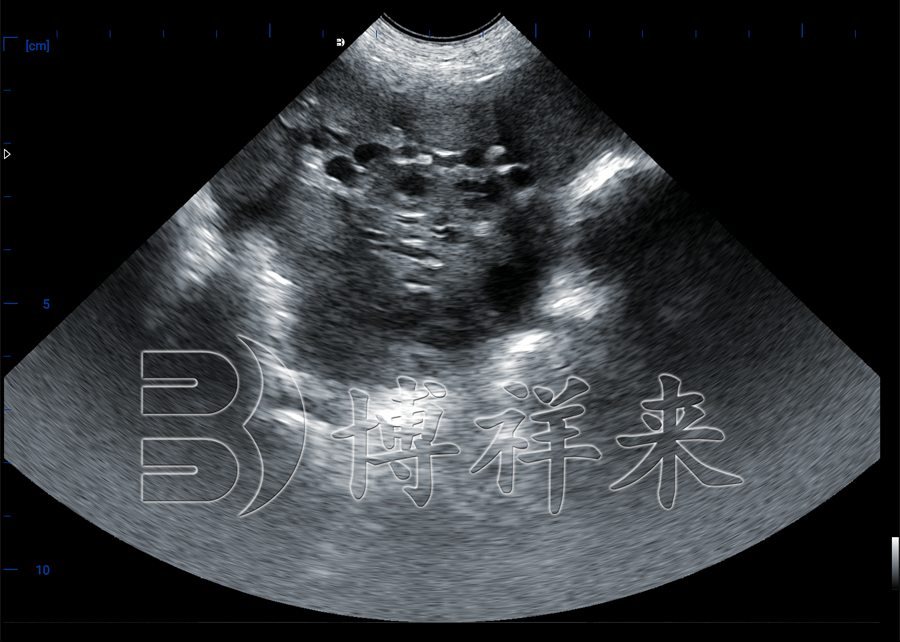
在卵巢检查中,卵泡通常表现为 圆形或椭圆形的液性暗区,边界清晰,内部为低回声或无回声。随着发情周期的推进,卵泡逐渐长大,直径在排卵前可达到 6~8毫米。通过B超图像,技术人员不仅能判断卵泡是否成熟,还能推测母猪排卵的时间。
借助猪用B超机,养殖户可以直观判断母猪卵泡的发育程度,从而确定***配种时间。
通过B超对卵泡的动态监测,配种时间能从“凭经验”转变为“有数据依据”,显著提高了母猪的受胎率。

提高受孕率
卵泡监测能帮助精准确定排卵期,减少配种失败。受孕率提高不仅节约了精液资源,也降低了人工成本。
缩短空怀期
通过B超发现卵泡发育异常或排卵延迟的母猪,可以及时调整管理措施,避免母猪长时间空怀。
减少返情次数
科学安排配种时间,能够降低返情率,保持繁殖节律稳定。
辅助繁殖障碍诊断
部分母猪存在卵泡囊肿或卵巢功能异常,B超检测能及早发现并指导干预,避免因繁殖障碍导致长期不孕。
与传统的经验判断相比,猪用B超机提供了 可视化的证据,大幅减少了人为误差。同时,现代兽用B超机具备便携性强、操作简单、图像清晰的特点,能适应猪场高频率的繁殖检测需求。对于追求高效益的规模化猪场来说,B超机不仅是一种检测工具,更是提升繁殖管理水平的重要手段。
猪用B超机在母猪卵泡检测和配种管理中的应用,正在改变传统繁殖方式。它帮助养殖场科学把握配种时机,提高受孕率,缩短空怀期,并为繁殖障碍的诊断提供依据。随着猪场向精细化、规模化发展,B超检测将成为提升繁殖效率和经济效益的关键环节。
下一篇:牛用B超机检测牛卵巢实现精准配种